ΤΕΧΝΗΤΗ ΝΟΗΜΟΣΥΝΗ (ΑΙ) ΣΤΗΝ ΨΗΦΙΑΚΗ ΜΑΣΤΟΓΡΑΦΙΑ
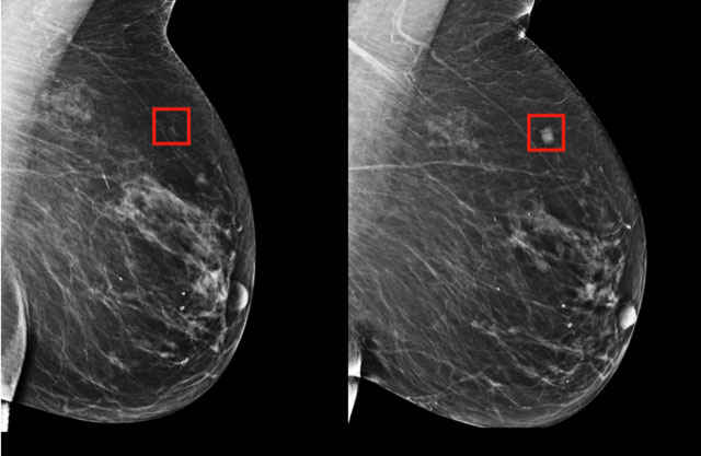
H ΔΕΛΤΑ ΨΗΦΙΑΚΗ με πρωταρχικό στόχο την παροχή υπηρεσιών υψηλού επιστημονικού και τεχνολογικού επιπέδου στις ασθενείς της , μετά την εγκατάσταση του συστήματος ΤΕΧΝΗΤΗΣ ΝΟΗΜΟΣΥΝΗΣ (Deep Learning) Profound ΑΙ - 3D στην Ψηφιακή Τομοσύνθεση Μαστού, εγκατέστησε σύστημα ΤΕΧΝΗΤΗΣ ΝΟΗΜΟΣΥΝΗΣ (ΑΙ Deep Learning) PROFOUND και στην ΨΗΦΙΑΚΗ ΜΑΣΤΟΓΡΑΦΙΑ . Το σύστημα είναι εξαιρετικά υψηλής τεχνολογίας, της Aμερικανικής εταιρείας iCAD. Eίναι το πρώτο σύστημα Τεχνητής Νοημοσύνης στην 2D ΨΗΦΙΑΚΗ ΜΑΣΤΟΓΡΑΦΙΑ που εγκαθίσταται στην Ελλάδα. Το σύστημα χρησιμοποιεί τεχνολογία ΑΙ Deep Learning, είναι εκπαιδευμένο με 10000 περιστατικά καρκίνου μαστού και 10000 φυσιολογικά περιστατικά. Είναι προγραμματισμένο να αναγνωρίζει μόνο του και να αξιολογεί ογκόμορφες βλάβες, διαταραχές αρχιτεκτονικής και αποτιτανώσεις, με πολύ υψηλή αξιοπιστία. Λειτουργεί ως ένας επιπλέον γιατρός , έχοντας καλύτερες επιδόσεις ακόμη και από τους πλέον έμπειρους Ακτινολόγους. Εστιάζει την προσοχή του ιατρού ακόμη και σε πολύ μικρές βλάβες και σε πυκνούς και δύσκολους μαστούς, που θα μπορούσαν να διαφύγουν και να καθυστερήσει η διάγνωση. Έχει ευαισθησία 93% και ειδικότητα 85%. Το σύστημα περιγράφει τις βλάβες και αξιολογεί την πιθανότητα ύπαρξης κακοήθειας, συγκρίνοντας την βλάβη με την βάση δεδομένων του. Παρέχει στον ιατρό το lesion score που αφορά την συγκεκριμένη βλάβη και ένα case score που αφορά την πιθανότητα κακοήθειας του περιστατικού συνυπολογίζοντας την πυκνότητα των μαστών και την πιθανή ύπαρξη και άλλων βλαβών. Λειτουργώντας συνεργατικά με τον γιατρό, ανεβάζει την ευαισθησία και την ειδικότητα της ΨΗΦΙΑΚΗΣ ΜΑΣΤΟΓΡΑΦΙΑΣ κατά 10%, επιτυγχάνοντας εξαιρετικά αποτελέσματα. Το σύστημα εκπαιδεύεται συνεχώς με νέα περιστατικά και υφίσταται συνεχείς αναβαθμίσεις με στόχο την απόλυτη τελειότητα. Επεξεργάζεται ταχύτατα τα δεδομένα των εξετάσεων, παράλληλα με την αξιολόγηση της εξέτασης από τον ιατρό, μειώνοντας το χρόνο διάγνωσης , ελαχιστοποιώντας την κόπωση των γιατρών και εξοικονομώντας χρόνο προς όφελος της διαγνωστικής ακρίβειας και της ενασχόλησης με τις ασθενείς.
Η αξιολόγηση των 2D ψηφιακών μαστογραφιών με ΤΕΧΝΗΤΗ ΝΟΗΜΟΣΥΝΗ προσφέρεται χωρίς πρόσθετη οικονομική επιβάρυνση προκειμένου οι ασθενείς μας και οι κλινικοί ιατροί να απολαμβάνουν την πλέον σύγχρονη τεχνολογία στην ΨΗΦΙΑΚΗ ΜΑΣΤΟΓΡΑΦΙΑ.
Για περισσότερες πληροφορίες σχετικά με την ΤΕΧΝΗΤΗ ΝΟΗΜΟΣΥΝΗ στην ΨΗΦΙΑΚΗ ΜΑΣΤΟΓΡΑΦΙΑ, οι επιστημονικοί υπεύθυνοι του κέντρου κ. Μαρ. Ιωαννίδου και κ. Νικ. Δημητρόπουλος είναι στην διάθεση σας στο τηλέφωνο του κέντρου 210-7780210.

